Augmented levels of macrophage and Th1 cell-related cytokine mRNA in submandibular glands of MRL/lpr mice with autoimmune sialoadenitis
- PMID: 9649206
- PMCID: PMC1905000
- DOI: 10.1046/j.1365-2249.1998.00609.x
Augmented levels of macrophage and Th1 cell-related cytokine mRNA in submandibular glands of MRL/lpr mice with autoimmune sialoadenitis
Abstract
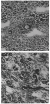
MRL/Mp-lpr/lpr (MRL/lpr) mice spontaneously develop destructive inflammation of the salivary and lachrymal glands resembling Sjögren's syndrome (SS), representing an animal model to study this disease. We used in situ hybridization with synthetic radiolabelled oligonucleotide probes to examine expression of mRNA encoding pro- and anti-inflammatory cytokines in submandibular glands of 2, 3, 4 and 5-month-old MRL/lpr mice. Phenotypic composition of submandibular gland infiltrates was evaluated by immunohistochemistry. Cells expressing tumour necrosis factor-alpha (TNF-alpha), IL-1beta, IL-6 and IL-12 mRNA were strongly up-regulated at about the time of onset of sialoadenitis, suggesting a role of these cytokines in development of the disease. Interferon-gamma (IFN-gamma) and cytolysin mRNA-expressing cells were gradually up-regulated over the disease course up to 5 months of age, the time when sialoadenitis is at its height, favouring a role of these cytokines in progression of the disease as well. Low levels of IL-10 and transforming growth factor-beta (TGF-beta) mRNA-expressing cells were observed at 2, 3 and 4 months of age, and were almost undetectable at 5 months. Maximum levels of CD4+, CD8+ and interdigitating/dendritic cells, as well as of MHC class II and MHC class I expression were seen at 3 months, with CD4+ outnumbering CD8+ cells. Maximum levels of macrophages were seen at 4 months of age. These data argue for a major role of the proinflammatory cytokines TNF-alpha, IL-1beta, IL-6, IL- 12, IFN-gamma and cytolysin in initiation and perpetuation of autoimmune sialoadenitis in MRL/lpr mice, probably in conjunction with an insufficiency of the anti-inflammatory cytokines TGF-beta and IL-10.
Figures








References
-
- Bloch KJ, Buchanan WW, Wohl MJ, et al. Sjögren's syndrome. A clinical, pathological and serological study of sixty-two cases. Med. 1965;44:187–231. - PubMed
-
- Fox RI, Robinson CA, Curd JG, et al. Sjögren's syndrome. Proposed criteria for classification. Arthritis Rheum. 1986;29:577–85. - PubMed
-
- Talal N, Bunim JJ. The development of malignant lymphoma in the course of Sjögren's syndrome. Am J Med. 1964;36:529–40. - PubMed
MeSH terms
Substances
LinkOut - more resources
Full Text Sources
Other Literature Sources
Medical
Molecular Biology Databases
Research Materials