Rapid detection and evaluation of clinical characteristics of emerging multiple-drug-resistant gram-negative rods carrying the metallo-beta-lactamase gene blaIMP
- PMID: 9687398
- PMCID: PMC105724
- DOI: 10.1128/AAC.42.8.2006
Rapid detection and evaluation of clinical characteristics of emerging multiple-drug-resistant gram-negative rods carrying the metallo-beta-lactamase gene blaIMP
Abstract
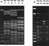
Gram-negative rods (GNR) carrying the transferable carbapenem resistance gene blaIMP, including Pseudomonas aeruginosa and Serratia marcescens, have been isolated from more than 20 hospitals in Japan. Although the emergence of such multiple-drug-resistant bacteria is of utmost clinical concern, little information in regard to the distribution of blaIMP-positive GNR in hospitals and the clinical characteristics of infected patients is available. To address this, a system for the rapid detection of the blaIMP gene with a simple DNA preparation and by enzymatic detection of PCR products was developed. A total of 933 ceftazidime-resistant strains of GNR isolated between 1991 and 1996 at Nagasaki University Hospital, Nagasaki, Japan, were screened for the blaIMP gene; 80 isolates were positive, including 53 P. aeruginosa isolates, 13 other glucose-nonfermenting bacteria, 13 S. marcescens isolates, and 1 Citrobacter freundii isolate. Most of the patients from whom blaIMP-positive organisms were isolated had malignant diseases (53. 8%). The organisms caused urinary tract infections, pneumonia, or other infections in 46.3% of the patients, while they were just colonizing the other patients evaluated. It was possible that blaIMP-positive P. aeruginosa strains contributed to the death of four patients, while the other infections caused by GNR carrying blaIMP were not lethal. DNA fingerprinting analysis by pulsed-field gel electrophoresis suggested the cross transmission of strains within the hospital. The isolates were ceftazidime resistant and were frequently resistant to other antibiotics. Although no particular means of pathogenesis of blaIMP-positive GNR is evident at present, the rapid detection of such strains is necessary to help with infection control practices for the prevention of their dissemination and the transmission of the resistance gene to other pathogenic bacteria.
Figures




References
-
- Davies J. Inactivation of antibiotics and the dissemination of resistant genes. Science. 1994;264:375–382. - PubMed
Publication types
MeSH terms
Substances
LinkOut - more resources
Full Text Sources
Other Literature Sources