Skip to main page content
U.S. flag

An official website of the United States government

Dot gov

The .gov means it’s official.
Federal government websites often end in .gov or .mil. Before sharing sensitive information, make sure you’re on a federal government site.

Https

The site is secure.
The https:// ensures that you are connecting to the official website and that any information you provide is encrypted and transmitted securely.

Access keys NCBI Homepage MyNCBI Homepage Main Content Main Navigation
. 1998 Aug 15;18(16):6186-94.
doi: 10.1523/JNEUROSCI.18-16-06186.1998.

Neuronal expression of the 5HT3 serotonin receptor gene requires nuclear factor 1 complexes

Affiliations

Neuronal expression of the 5HT3 serotonin receptor gene requires nuclear factor 1 complexes

F K Bedford et al. J Neurosci. .

Abstract

The 5HT3 receptor (5HT3R) is a serotonin-gated ion channel whose expression is restricted to a subset of cells within the central and peripheral nervous systems. In vitro analysis shows that a small proximal region of the TATA-less 5HT3R promoter is sufficient to direct neuronal-specific reporter gene expression. Three potential regulatory elements conserved between the mouse and human genes were identified within this proximal promoter, two of which are known sites for the ubiquitously expressed factors Sp1 and nuclear factor 1 (NF1). Surprisingly, mutation of the NF1 binding site abolished all reporter activity in cell transfection studies, suggesting that this element is essential for neuronal-specific transcriptional activity of the 5HT3R. Furthermore, a complex of neuronal proteins that includes a member(s) of the NF1 family binds to this site, as shown by gel mobility super shift and DNaseI footprinting analyses. Although NF1 has been proposed to mediate basal transcription of many ubiquitously expressed genes, our data suggest that a member of the NF1 transcription factor family participates in neuronal-specific gene expression by promoting interactions with other regulatory factors found in sensory ganglia.

PubMed Disclaimer

Figures

Fig. 1.
Fig. 1.
Comparison of the mouse and human5HT3R upstream promoter region. Two independent and overlapping mouse genomic clones containing 3 kb and 1.3 kb of genomic DNA, respectively, are shown with respect to the initiator methionine and exon 1 (black boxes) encoding the 5HT3R. The human 5HT3R cosmid clone of 20 kb is also depicted with arrowheadsto indicate that the clone continues. Sequence comparison of the proximal 5HT3R promoter region is shown for the mouse and human sequences with the first nucleotide in the ATG initiator codon assigned as position +1. Conserved elements are boxed and labeled, including the E-Box, Pal-1, and NF1 potential DNA binding recognition sites. The initiator methionine codon of the mouse and human cDNA clones is shown in bold, and the beginning of the mouse5HT3R cDNA is indicated by anarrow. Large arrowheads show the end positions of the fragment used for the RNase protection assay to determine the major start sites (Fig. 3B). Major start sites are shown with a smaller arrowhead, and thenumber given above each symbol corresponds to the assigned transcriptional start site, as shown in Figure2B.
Fig. 2.
Fig. 2.
Mapping the 5HT3R transcriptional start site(s). A, Expression of5HT3R transcripts in three mouse neuroblastoma cell lines, N18, NCB20 and NG108, was determined by Northern blot analysis using 1 μg of poly(A+) mRNA. B, RNase protection analysis was performed by the method described in Shen et al. (1994), using a ∼300 bp 5HT3R fragment NdeI-Hd3 subcloned into pBKS+. An internal NdeI was introduced by site-directed mutagenesis at position −262, changing CATCTG to CATATG to allow for the generation of a conveniently sized radiolabeled cRNA probe. Antisense cRNA was transcribed using T3 polymerase and hybridized with N18 mRNA, as described in Materials and Methods. The patterns of protected species are shown for N18-TG2 total RNA compared with control yeast tRNA (tRNA).
Fig. 3.
Fig. 3.
Functional analysis of the mouse5HT3R promoter and 5′ flanking region.A, Mouse 5HT3R promoter and upstream sequences. All conserved sites shared between the mouse and human 5HT3R genes are shown as labeled.B, A series of deletions were created in the5HT3R promoter and upstream regions and fused to the firefly luciferase reporter gene. The exact nucleotide location of the deletion is indicated on the side of the luciferase activity determined after transfection into either N18-TG2 or HeLa cells, as described in Materials and Methods. For each construct, triplicate samples were independently measured, and the entire experiment was performed at least four times. An additional plasmid, CMV-βGAL, was cotransfected in the transient transfections as an internal control for variation between transfection efficiencies. The p36 minimal prolactin promoter luciferase construct was used to define a basal level of transcription (Ingraham et al., 1988).
Fig. 4.
Fig. 4.
An NF1-like element is bound by a large protein complex in N18-TG2 cells. Gel mobility shift assays were performed using the entire −219 bp fragment of the5HT3R proximal promoter and nuclear extracts prepared from either the neuronal N18-TG2 cell line or the non-neuronal HEK-293S or HeLa cell lines. Nonradioactive annealed oligonucleotide competitors were added in 100-fold molar excess of the5HT3R proximal promoter probe; these sites include wild-type 5HT3R NF1 element (NF1), a mutant 5HT3R NF1 element (mNF1), the palindromic sequence (Pal-1), the E-box element (EBox), and the NF1 element in the adenovirus type 5 enhancer (AdNF1); refer to Table 1 for sequence information. Nuclear extracts (5 μg) were incubated together with unlabeled annealed oligonucleotides and radiolabeled5HT3R proximal promoter [5HT3R Probe (−219/−48)], as described in Materials and Methods. Identical band shift patterns are observed after incubation with either of the two non-neuronal cell extracts, HEK-293S or HeLa cells.
Fig. 5.
Fig. 5.
Mutation of conserved elements in the5HT3R proximal promoter. A, Individual elements within the 5HT3R proximal promoter were mutated individually and compared with the wild-type promoter in N18-TG2 cell transfection assays. Each mutant promoter constructed is depicted in A, and the exact residues mutated are listed in Table 1. In all cases, either the palindromic nature of the site or the core residues proposed to mediate DNA binding was altered. Loss of the NF1 site results in a 10-fold loss of reporter activity of the 5HT3R proximal promoter and is equivalent to the lowered activity observed with the minimal 5HT3R (−135/−3) reporter construct (Fig. 3A). CMV-βGAL plasmid was cotransfected to control for transfection efficiencies, and the luciferase activity was corrected to reflect these values. B, Super-shift analysis of gel mobility shift assays was performed by preincubating the rabbit anti-chicken NFI antiserum (a gift from Dr U. Kruse, The Scripps Research Institute, La Jolla, CA) or preimmune serum with N18-TG2 nuclear extract before binding to the radiolabeled5HT3R proximal promoter probe. Super-shifted DNA–protein complexes are observed after preincubation with antibody (+AB) but are not present without or with preimmune serum (+Pre) in NG18-TG2 extract.
Fig. 6.
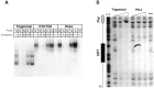
Fig. 6.
NF1-like proteins from neuroblastoma and trigeminal ganglia bind to the 5HT3R NF1 site, conferring cell specific transcription. A, Gel mobility shift assays were performed with the radiolabeled5HT3R NF1 consensus site and ∼3–5 μg of nuclear extracts prepared from rat trigeminal ganglia, N18-TG2, and HeLa cultured cells. Various competitors were added in 100-fold molar excess of labeled probe and included the wild-type5HT3R NF1 site (N), a mutant 5HT3R NF1 site (mN), the adenovirus NF1 site (A), or no competitor (-). All major DNA–protein complexes are competed for with either the NF1 or AdNF1 annealed oligonucleotides but not with the mutated5HT3R NF1 site. The gel mobility shift patterns are nearly identical in both the N18-TG2 and HeLa cells.B, DNaseI footprinting patterns are shown for trigeminal and HeLa cell nuclear extracts on the sense strand of the5HT3R proximal promoter region. In a region centered on the NF1 consensus binding site, a large and prominent footprint region is observed with a small amount of trigeminal ganglia nuclear extracts (3 μg of protein). This pattern extends beyond the footprint observed with HeLa cells as more trigeminal ganglia protein is incubated. DNaseI footprinting analyses were performed on labeled sense and antisense strands and revealed no other protected footprints (data not shown).

References

    1. Bessis A, Champtiaux N, Chatelin L, Changeux JP. The neuron-restrictive silencer element: a dual enhancer/silencer crucial for patterned expression of a nicotinic receptor gene in the brain. Proc Natl Acad Sci USA. 1997;94:5906–5911. - PMC - PubMed
    1. Brenner R, Thomas TO, Becker MN, Atkinson NS. Tissue-specific expression of a Ca(2+)-activated K+ channel is controlled by multiple upstream regulatory elements. J Neurosci. 1996;16:1827–1835. - PMC - PubMed
    1. Cardinaux JR, Chapel S, Wahli W. Complex organization of CTF/NF-I, C/EBP, and HNF3 binding sites within the promoter of the liver-specific vitellogenin gene. J Biol Chem. 1994;269:32947–32956. - PubMed
    1. Chirgwin JJ, Przbyla AE, MacDonald RJ, Rutter WJ. Isolation of biologically active ribonucleic acid from sources enriched in ribonuclease. Biochemistry. 1979;18:5294–5299. - PubMed
    1. Chong JA, Tapia RJ, Kim S, Toledo AJ, Zheng Y, Boutros MC, Altshuller YM, Frohman MA, Kraner SD, Mandel G. REST: a mammalian silencer protein that restricts sodium channel gene expression to neurons. Cell. 1995;80:949–957. - PubMed

Publication types