Detection and characterization of novel rotavirus strains in the United States
- PMID: 9774569
- PMCID: PMC105305
- DOI: 10.1128/JCM.36.11.3223-3229.1998
Detection and characterization of novel rotavirus strains in the United States
Erratum in
- J Clin Microbiol 1999 Jul;37(7):2392
Abstract
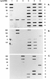
We recently established a rotavirus strain surveillance system in the United States to monitor the prevalent G serotypes before and after the anticipated implementation of a vaccination program against rotavirus and to identify the emergence of uncommon strains. In this study, we examined 348 rotavirus strains obtained in 1996 to 1997 from children with diarrhea in 10 U.S. cities. Strains were characterized for P and G types, subgroups, and electropherotypes by using a combination of monoclonal antibody immunoassay, reverse transcription-PCR, and hybridization. The four strains most commonly found worldwide comprised 83% of the isolates (P[8]G1, 66.4%; P[4]G2, 8.3%; P[8]G3, 6.9%; P[8]G4, 1.4%), but 9.2% were unusual strains (P[6]G9, 5.5%; P[8]G9, 1.7%; P[6]G1, 1.4%; and P[4]G1 and P[8]G2, 0. 3% each). Strains not typeable for P or G type accounted for 5.5% of the total, while 2.3% of the strains had more than one G type (mixed infections). All P[6]G9 strains tested had short electropherotypes and subgroup I specificity and were detected in 4 of 10 cities, while P[8]G9 strains had long electropherotypes and subgroup II VP6 antigens. Both sequence analysis of the VP7 open reading frame (about 94 to 95% amino acid identity with the VP7 gene of G9 prototype strain WI61) and binding to a G9-specific monoclonal antibody strongly suggest that U.S. G9 strains belong to serotype G9. The high detection rates of unusual rotaviruses with G9 (7.2%) or P[6] (6.9%) specificity in multiple U.S. cities suggest the emergence of new strains or inadequate diagnosis in the past. The epidemiologic importance of these strains remains to be determined.
Figures

Comment in
-
Detection and characterization of novel rotavirus strains in the United States.J Clin Microbiol. 1999 Jul;37(7):2385-6. doi: 10.1128/JCM.37.7.2385-2386.1999. J Clin Microbiol. 1999. PMID: 10408958 Free PMC article. No abstract available.
References
-
- Both, G. W. 1985. Unpublished data.
-
- Cicirello H G, Das B K, Gupta A, Bhan M K, Gentsch J R, Kumar R, Glass R I. High prevalence of rotavirus infection among neonates born at hospitals in Delhi, India: predisposition of newborns for infection with unusual rotavirus. Pediatr Infect Dis J. 1994;13:720–724. - PubMed
-
- Clark, H. F., P. A. Offit, R. W. Ellis, J. J. Eiden, D. Krah, A. R. Shaw, M. Pichichero, J. J. Treanor, F. E. Borian, L. M. Bell, and S. A. Plotkin. 1996. The development of multivalent bovine rotavirus (strain WC3) reassortant vaccine for infants. J. Infect. Dis. 174(Suppl. 1):S73–S80. - PubMed
Publication types
MeSH terms
Substances
LinkOut - more resources
Full Text Sources
Other Literature Sources
Medical
Miscellaneous