Oxazolone colitis: A murine model of T helper cell type 2 colitis treatable with antibodies to interleukin 4
- PMID: 9815270
- PMCID: PMC2212414
- DOI: 10.1084/jem.188.10.1929
Oxazolone colitis: A murine model of T helper cell type 2 colitis treatable with antibodies to interleukin 4
Abstract
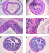
In this study we describe oxazolone colitis, a new form of experimental colitis. This model is induced in SJL/J mice by the rectal instillation of the haptenating agent, oxazolone, and is characterized by a rapidly developing colitis confined to the distal half of the colon; it consists of a mixed neutrophil/lymphocyte infiltration limited to the superficial layer of the mucosa which is associated with ulceration. Oxazolone colitis is a T helper cell type 2 (Th2)-mediated process since stimulated T cells from lesional tissue produce markedly increased amounts of interleukin (IL)-4 and IL-5; in addition, anti-IL-4 administration leads to a striking amelioration of disease, whereas anti-IL-12 administration either has no effect or exacerbates disease. Finally, this proinflammatory Th2 cytokine response is counterbalanced by a massive transforming growth factor-beta (TGF-beta) response which limits both the extent and duration of disease: lesional (distal) T cells manifest a 20-30-fold increase in TGF-beta production, whereas nonlesional (proximal) T cells manifest an even greater 40-50-fold increase. In addition, anti-TGF-beta administration leads to more severe inflammation which now involves the entire colon. The histologic features and distribution of oxazolone colitis have characteristics that resemble ulcerative colitis (UC) and thus sharply distinguish this model from most other models, which usually resemble Crohn's disease. This feature of oxazolone colitis as well as its cytokine profile have important implications to the pathogenesis and treatment of UC.
Figures
















References
-
- Fuss IJ, Neurath MF, Boirivant M, Klein JS, de la Motte C, Strong SA, Fiocchi C, Strober W. Disparate CD4+lamina propria (LP) lymphokine secretion profiles in inflammatory bowel disease. Crohn's disease LP cells manifest increased secretion of IFN-γ, whereas ulcerative colitis LP cells manifest increased secretion of IL-5. J Immunol. 1996;157:1261–1270. - PubMed
-
- Monteleone G, Biancone L, Marasco R, Marrone G, Marasco O, Luzza F, Pallone F. Interleukin-12 is expressed and actively released by Crohn's disease intestinal lamina propria mononuclear cells. Gastroenterology. 1997;112:1169–1178. - PubMed
MeSH terms
Substances
LinkOut - more resources
Full Text Sources
Other Literature Sources
Molecular Biology Databases