Skip to main page content
U.S. flag

An official website of the United States government

Dot gov

The .gov means it’s official.
Federal government websites often end in .gov or .mil. Before sharing sensitive information, make sure you’re on a federal government site.

Https

The site is secure.
The https:// ensures that you are connecting to the official website and that any information you provide is encrypted and transmitted securely.

Access keys NCBI Homepage MyNCBI Homepage Main Content Main Navigation
. 1998 Dec 15;513 ( Pt 3)(Pt 3):647-54.
doi: 10.1111/j.1469-7793.1998.647ba.x.

Cloning and functional expression of rat ether-à-go-go-like K+ channel genes

Affiliations

Cloning and functional expression of rat ether-à-go-go-like K+ channel genes

B Engeland et al. J Physiol. .

Abstract

1. Screening of rat cortex cDNA resulted in cloning of two complete and one partial orthologue of the Drosophila ether-à-go-go-like K+ channel (elk). 2. Northern blot and reverse transcriptase-polymerase chain reaction (RT-PCR) analysis revealed predominant expression of rat elk mRNAs in brain. Each rat elk mRNA showed a distinct, but overlapping expression pattern in different rat brain areas. 3. Transient transfection of Chinese hamster ovary (CHO) cells with rat elk1 or rat elk2 cDNA gave rise to voltage-activated K+ channels with novel properties. 4. RELK1 channels mediated slowly activating sustained potassium currents. The threshold for activation was at -90 mV. Currents were insensitive to tetraethylammonium (TEA) and 4-aminopyridine (4-AP), but were blocked by micromolar concentrations of Ba2+. RELK1 activation kinetics were not dependent on prepulse potential like REAG-mediated currents. 5. RELK2 channels produced currents with a fast inactivation component and HERG-like tail currents. RELK2 currents were not sensitive to the HERG channel blocker E4031.

PubMed Disclaimer

Figures

Figure 1
Figure 1. Alignment of DELK, RELK1, RELK2 and RELK3
Derived DELK, RELK1, RELK2 and RELK3 protein sequences were aligned using the Genetics Computer Group (GCG) program package (Deveraux et al. 1984). The RELK3 sequence is not complete. Numbers at right refer to last amino acid residue in each lane. For optimal alignment gaps were introduced (dashes). Residues identical between DELK and one or more RELK sequence are shaded in black. Hydrophobic segments S1-S6 were determined by hydrophobicity analysis. Segments S1-S6, the P-domain, the LOV domain (Huala et al. 1997), and the putative cyclic nucleotide-binding domain are overlined. Potential N-glycosylation sites are marked by squares. Conserved consensus sequence for protein kinase C and Ca2+/calmodulin-dependent protein kinase II phosphorylation is indicated by a dot and a diamond, respectively.
Figure 2
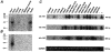
Figure 2. Expression pattern of rat elk1, rat elk2 and rat elk3 mRNAs in different rat tissues
A and B, a multiple tissue Northern blot was probed with α-32P-labelled, rat elk1 (A) and rat elk2 (B) cDNA probes. Tissue origin is indicated on top of each lane. The positions of RNA (kb) size markers are indicated at left. C, RT-PCR experiments were performed with RNA isolated from several rat tissues (indicated on top). PCR products were hybridized with the indicated α-32P-labelled rat elk cDNA probe. Expected PCR product sizes are given at right. Amplified GAPDH-PCR products used for control are shown at bottom.
Figure 3
Figure 3. Functional properties of RELK1-mediated currents
A, whole-cell patch-clamp recordings from CHO cells transiently transfected with rat elk1 cDNA. Cells were depolarized from a holding potential at −120 mV to the indicated test potentials. B, conductance-voltage relationship derived from tail currents is shown in the inset. Cells were repolarized to −120 mV from the indicated 2 s test potentials. Data were fitted by a Boltzmann equation (see Methods). C, currents were recorded from cells in 50 mm K+ solution (see Methods). Cells were depolarized from a holding potential at −120 mV to the indicated test potentials. D, current-voltage relationship derived from the raw data shown in C. E, whole-cell patch-clamp recordings of tail currents following a depolarization to −30 mV. F, time constants of deactivation (•) as a function of the tail potential. Time constants of fast component (τ1) of RELK1 current activation as a function of test potential are indicated by open circles and those of of the slow component (τ2) in the inset. Data points were connected by straight lines and represent mean values (n = 6–14). G, currents were recorded during voltage steps to −30 mV from the indicated holding potentials. H, using the protocol shown in E, the current activated by stepping to −30 mV was described by two time constants: τ1 (fast) and τ2 (slow) (see Results). The fraction of the total current amplitude contributed by the slower component (FS) was plotted against the prepulse potential (n = 6–11). Data points were connected by straight lines.
Figure 4
Figure 4. Functional properties of RELK2-mediated currents
A, whole-cell patch-clamp recordings from CHO cells transiently transfected with rat elk2 cDNA. Cells were depolarized from a holding potential of −80 mV to the indicated test potentials. B, conductance-voltage relationships derived from tail currents (inset) measured in 50 mm K+ bath solution (see Methods). Cells were repolarized from the indicated test potentials to a holding potential of −80 mV. Data were fitted by a Boltzmann equation with a V½ = 24.9 ± 4.5 mV (n = 4). C, recordings of tail currents following a depolarization to +80 mV in 50 mm K+ bath solution. D, time constants of deactivation (○) and of recovery from inactivation (•) as a function of the tail potential on a semi-logarithmic scale. Data points were connected by straight lines and represent mean values (n = 5–17).

References

    1. Aiken SP, Lampe BJ, Murphy PA, Brown BS. Reduction in spike frequency adaptation and blockade of M-current in rat CA1 pyramidal neurones by linopirdine (DuP 996), a neurotransmitter release enhancer. British Journal of Pharmacology. 1995;115:1163–1168. - PMC - PubMed
    1. Brüggemann A, Pardo LA, Stühmer W, Pongs O. Ether-à-go-go encodes a voltage-gated channel permeable to K+ and Ca2+ and modulated by cAMP. Nature. 1993;365:444–448. - PubMed
    1. Chandy KG, Gutman GA. In: Handbook of Receptors and Channels. North PA, editor. FL, USA: CRC, Boca Raton; 1995. pp. 1–71.
    1. Curran ME, Splawski I, Timothy KW, Vincent M, Green ED, Keating MT. A molecular basis for cardiac arrhythmia: HERG mutations cause long QT syndrome. Cell. 1995;80:795–803. - PubMed
    1. Deveraux J, Haeberli P, Smithies O. A comprehensive set of sequence analysis programms for the VAX. Nucleic Acids Research. 1984;12:387–395. - PMC - PubMed

Publication types

MeSH terms

Associated data

LinkOut - more resources