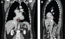
Incidental Aneurysm of the Suprahepatic IVC
- PMID: 40304377
- PMCID: PMC12413583
- DOI: 10.1111/ans.70158
Incidental Aneurysm of the Suprahepatic IVC
Abstract
Conflict of interest statement
All authors are in agreement with the content of the manuscript. Informed consent was obtained from the patient. The manuscript has not been published previously, nor is it under consideration elsewhere.
The authors declare no conflicts of interest.
Figures


References
-
- Wang M., Wang H., Liao B., Peng G., and Chang G., “Treatment Strategies for Inferior Vena Cava Aneurysms,” Journal of Vascular Surgery: Venous and Lymphatic Disorders 9 (2021): 1588–1596. - PubMed
-
- Montero‐Baker M. F., Branco B. C., L. L. Leon, Jr. , Labropoulos N., Echeverria A., and J. L. Mills, Sr. , “Management of Inferior Vena Cava Aneurysm,” Journal of Cardiovascular Surgery 56 (2015): 769–774. - PubMed
Publication types
LinkOut - more resources
Full Text Sources